Tratamento: Facetas e Lentes de Contato
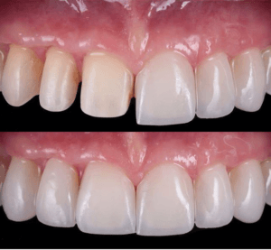
Facetas e lentes de contato são trabalhos odontológicos feitos de porcelana indicados para correção do formato, tamanho ou cor dos dentes. A diferença entre a faceta e a lente é a espessura do material, que quando possível ajuda a diminuir o desgaste na estrutura do dente.
Voltar Agendar Avaliação
